preloader
متخصص استخوان و مفاصل

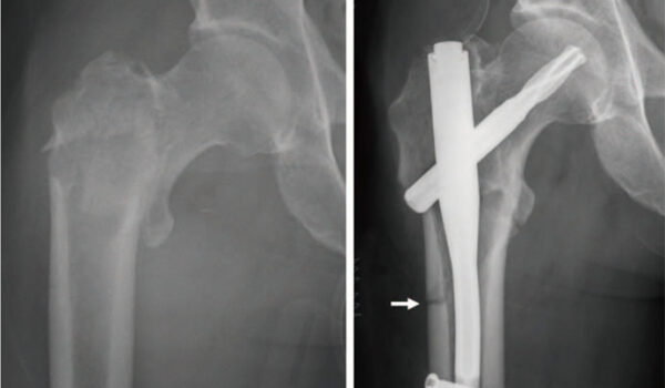
مراقبت‌های بعد از عمل شکستگی اندام تحتانی (Nail)

کی می‌توانم مرخص شوم و چه مراقبتی‌هایی در طول بستری باید رعایت کنم؟

به دلیل استفاده از نیل در عمل شما، ترخیص طی حداکثر دو روز بعد از عمل انجام خواهد گرفت. در طول مدت بستری مراقبت از زخم ناحیه عمل شما بنابه صلاح‌دید انجام می‌شود. این مدت زمان برای پایش عوارض زودرس احتمالی بعد از عمل ضروری است. مسلماً در صورت بروز عوارض مدت بستری افزایش خواهد یافت.

بعداز ترخیص چه مراقبت‌هایی را رعایت و چه دارهایی را مصرف کنم؟

از روز بعد ازعمل می‌توانید با کمک واکر یا عصا و با تکیه بر پای سالم راه بیفتید. حین راه رفتن مخصوصاً در سطوح لغزنده مانند دستشویی و حمام یا بر روی فرش کاملاً محتاط باشید. به شرط رعایت این نکته که روی پای عمل شده بیشتر از ۲۵درصد وزن خود (معادل له کردن یک گوجه رسیده) وزنی نگذارید، در میزان راه رفتن شما محدودیتی وجود ندارد. استفاده از دستشویی فرنگی یا صندلی همراه اکیداً توصیه می‌شود. بعد از حدود یک‌ونیم ماه با صلاح‌دید جراح و در صورت رعایت صحیح نکات در طی این مدت، می‌توانید به تدریج در طی دو هفته واکر یا عصا را کنار بگذارید.

محل زخم عمل را روزانه صرفاً با سرم شستشو تمیز و پانسمان خود را به صورت استریل عوض کنید. به هر سمت که خواستید می‌توانید بخوابید (حتی به پهلوی سمتی که عمل کرده‌اید). داروهای شما دو عدد قرص خوراکی آنتی‌بیوتیک و آمپول دورنافی ضدلخته خون باشد که به تعداد لازم باید مصرف کنید (حدود ۶-۴ هفته).

فیزیوتراپی را از کی و چگونه آغاز کنم؟

از روز بعد از عمل شما باید ۳ تمرین مختص به جراحی‌های اندام تحتانی را تا زمانی که واکر را کنار خواهید گذاشت، انجام دهید و به علاوه تمرینات نسخه شده توسط جراح را نیز زیر نظر فیزیوتراپ در قالب جلسات فیزیوتراپی شروع کنید. تعداد این جلسات بنا به صلاح‌دید جراح می‌تواند از ۱۰ تا ۴۰ جلسه متفاوت باشد. تمرینات فیزیوتراپی را حتماً در خانه نیز انجام دهید و محدود به جلسات فیزیوتراپی نکنید. برای دیدن این تمرینات کلیک کنید.

چه مواردی بعد از عمل جدی طلقی می‌شوند و باید سریعاً به بیمارستان مراجعه کنم؟

هرگونه قرمزی، گرمی، یا تورم شدید اطراف زخم جراحی (دقت کنید میزان اندکی از این علائم بعد از عمل طبیعی است) نیازمند پیگیری است. در صورت وجود این موارد در اولین فرصت (نه به صورت اورژانسی) به جراح خود مراجعه کنید.

در صورت بروز هر یک یا چند مورد از علائم زیر، باید فوراً خود را به نزدیک‌ترین مرکز اورژانس به محل زندگی خود برسانید (لزومی نیست که اورژانس همان بیمارستانی باشد که عمل کردید، بلکه اولویت با نزدیک بودن بیمارستان است):

تنگی نفس (احساس خفگی یا کمبود اکسیژن یا تند شدن تعداد نفس‌ها)

تپش قلب شدید

احساس بی‌تابی و بی‌قراری شدید

شروع ناگهانی درد قفسه سینه

دکتر موحدی‌نیا وب‌سایت

دیدگاهتان را بنویسید

نشانی ایمیل شما منتشر نخواهد شد. بخش‌های موردنیاز علامت‌گذاری شده‌اند *